Natural tooth-colored materials known as composite fillings and conventional dental fillings, for example, amalgam are the usual choices for a dental filling. If a patient needs to choose between amalgam fillings vs composite, which one would it be advisable for them to choose? Nowadays mercury-free teeth fillings meaning the composite ones are preferred.
Amalgam fillings (mercury)
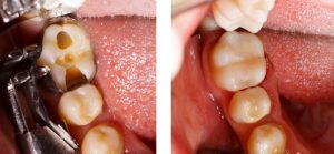
The amalgam filling materials are affordable, strong, and durable than the composite ones. These materials perform exceptionally well in situations which needs to withstand extreme forces resulting from chewing especially the back of the mouth. Amalgam is a mixture of mercury, copper, tin, and silver. Mercury is fundamental in binding the materials together and furthermore provides a hard, durable, and strong filling. It is stronger than composite fillings thus it is utilized for fillings at the back side of the teeth. Patients also like this amalgam filling material because it has lower cost and is extremely strong and durable.
Composite fillings
Resin composite fillings are made out of plastic and ceramic mixes. The benefit of these fillings over dental amalgam is that resin emulates natural teeth and have been used for a long time. In any case, their durability and strength have always been a question. This is the motivation behind why composite fillings are not utilized in the posterior side of teeth.
In spite of the fact that technology has improved composite fillings, still, there are numerous reasons why dental experts might not use them. A portion of these reasons are:
-They don’t last for many years.
– They can’t support the pressure of chewing and grinding.
– Amalgam is the most favored filling for the dental practitioner as it is can be placed in those areas of mouth which are commonly dry, for example, the posterior portion while composite resins require an explicit environment to be placed.
– Lastly, the cost associated with placing the composite resin is higher than dental amalgam.


More Stories
Can a Loose Tooth Be Saved? What You Really Need to Know
Why Are My Gums Black? Understanding What Your Gum Color Really Means
Why Are My Gums White Around My Teeth? Causes and Solutions Explained